創作者合作平台
下載App
下載App
登入/註冊
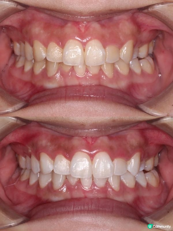
珠海牙齒美白
帖文 1
粉絲 0
關注
推薦
最新