logo
下載App
chanisabella897Level 12024/09/12
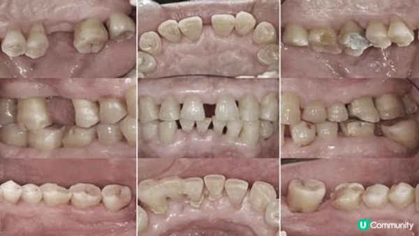
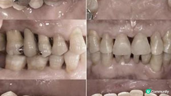
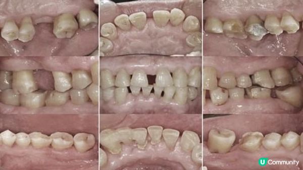
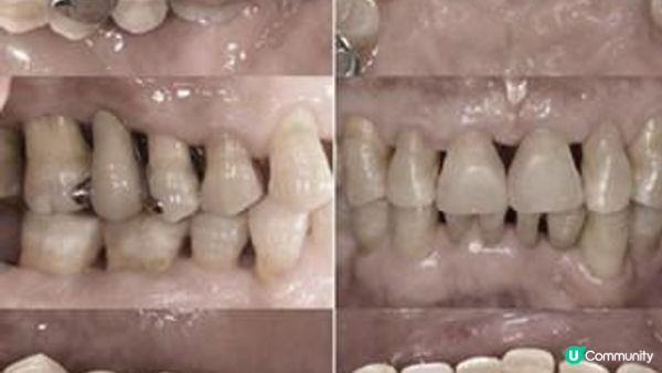
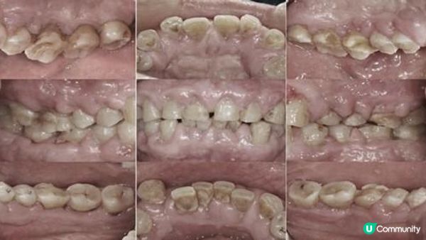
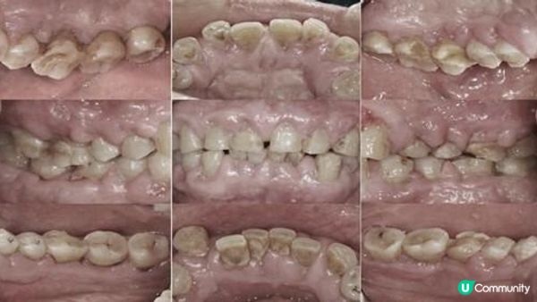
我的尋找專科牙醫之旅:推薦給受牙周病困擾的你
我的尋找專科牙醫之旅:推薦給受牙周病困擾的你
我的尋找專科牙醫之旅:推薦給受牙周病困擾的你
我的尋找專科牙醫之旅:推薦給受牙周病困擾的你
即睇更多社群帖文
9
1

我的尋找專科牙醫之旅:推薦給受牙周病困擾的你

9